Określanie płci płodu

Określanie płci płodu u krów w czasie ciąży stanowi istotny element nowoczesnego zarządzania stadem bydła, szczególnie w hodowli ukierunkowanej na produkcję mleczną lub mięsną. Informacja o płci potomstwa już na wczesnym etapie ciąży pozwala hodowcy podejmować trafniejsze decyzje dotyczące selekcji, planowania remontu stada oraz dalszej strategii rozrodu. W praktyce weterynaryjnej najczęściej wykorzystuje się badanie ultrasonograficzne (USG), które umożliwia ocenę struktur anatomicznych rozwijającego się płodu w sposób nieinwazyjny, bezpieczny dla matki i zarodka.
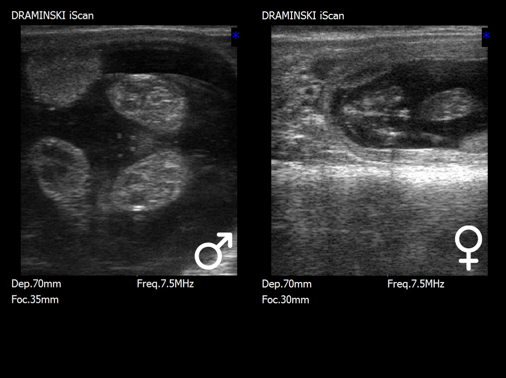
Najbardziej optymalnym okresem do rozpoznania płci płodu jest czas pomiędzy 55. a 70. dniem ciąży.
W tym etapie rozwoju kluczową strukturą diagnostyczną jest guzek płciowy (tuberculum genitale), który ulega charakterystycznemu przemieszczeniu w zależności od płci. U płodów męskich guzek płciowy przemieszcza się w kierunku pępka i przyszłego prącia, natomiast u płodów żeńskich lokalizuje się bliżej ogona, w rejonie przyszłego sromu. Prawidłowa interpretacja położenia tej struktury wymaga nie tylko dobrej jakości obrazu ultrasonograficznego, lecz także odpowiedniego doświadczenia badającego, ponieważ niewielkie różnice w ułożeniu płodu mogą wpływać na ocenę.
W późniejszym okresie ciąży, po około 70.–80. dniu, możliwa jest identyfikacja bardziej wykształconych narządów płciowych, takich jak moszna u płodów męskich lub struktury sromu u płodów żeńskich. Choć w tym czasie cechy płciowe są bardziej widoczne, to jednocześnie badanie staje się trudniejsze ze względu na zwiększające się rozmiary płodu, jego głębsze położenie w jamie macicy oraz ograniczoną możliwość manewrowania głowicą ultrasonograficzną.
Rozpoznawanie płci płodu w czasie ciąży może mieć znaczenie hodowlane i ekonomiczne.
Umożliwia planowanie przyszłej struktury stada, bardziej efektywną selekcję genetyczną oraz optymalizację strategii rozrodu, w tym wykorzystanie nasienia seksowanego czy decyzje dotyczące sprzedaży zwierząt. Z punktu widzenia lekarza weterynarii procedura ta wymaga posiadania precyzyjnego usg, zdolności manualnej oraz dobrej znajomości interpretacji obrazów ultrasonograficznych.

Lek. wet. Michał Barczykowski


